Schedule your initial consultation today and start your journey towards a pain-free, healthier smile. Contact us now!
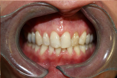
The natural shade of teeth ranges from light grey to yellow and naturally darken with age. At Woodstock Dental Centre, we often see patients whose teeth have become stained over the years or turned yellow as a result of tobacco, tea, or coffee consumption. The simplest, most effective treatment is teeth whitening or bleaching. While carbamine peroxide and over-the-counter kits have worked for some patients, they often fall short of the expected results.
According to research, the whitening gel in conventional whitening trays is active for only 25-35 minutes due to the contamination that happens to the whitening gel by saliva over time. KöR whitening KöR-Seal™ trays are specifically designed to seal saliva out of the whitening trays. These trays, in combination with KöR whitening gels provide 6 to 10 hours of whitening activity compared to the typical 25-35 minutes of other systems.With this system, the outcome is always stunning and with little to no tooth sensitivity after treatments. For most patients, all it takes is one or two in-office whitening sessions and a take-home whitening kit to achieve a whiter, more beautiful smile. Ask us about KöR Whitening® during your next visit!

Teeth whitening is a cosmetic dental treatment that lightens the colour of your teeth and removes stains. It’s done with a bleaching agent like hydrogen peroxide or carbamide peroxide.
There are two main types: In-office (chairside) whitening which uses a high concentration of bleaching agent and often a light/laser and Take-home custom trays provided by a dentist with a lower concentration gel for use over several weeks.
A typical in-office treatment is done in one visit and takes about 60 to 90 minutes.
Results vary depending on the whitening method, your diet and oral hygiene habits. Generally results can last from 6 months to 3 years. Touch ups are often needed to maintain the brightest shade.
No. Whitening agents only work on natural tooth enamel. They don’t work on dental restorations like crowns, veneers, bridges or fillings. These restorations may need to be replaced after whitening to match your new lighter tooth colour.
This is a very common side effect, called transient tooth sensitivity. The bleaching agent dehydrates the teeth and allows the chemicals to reach the nerve. It usually subsides within 1-3 days after treatment.What causes the stains on my teeth? Stains fall into two categories: Extrinsic (surface stains from coffee, tea, red wine, tobacco and dark coloured foods) and Intrinsic (stains that are inside the tooth structure, often from medication, trauma or genetics).
Schedule your initial consultation today and start your journey towards a pain-free, healthier smile. Contact us now!
At Woodstock Dental Centre, we believe that everyone deserves a beautiful smile; a smile that they feel confident behind and are not afraid to show. With modern-day technology in dentistry, it is now easier than ever to have a full-mouth makeover to get the smile of your dreams. Dental procedures such as porcelain veneers can turn your smile into a beautiful, bright and perfectly aligned set of teeth. Our dental professionals at your Downsview dentist will examine your natural teeth and go through a planning phase for your new smile, where the shape, size, length, and colour of your teeth, as well as your facial appearance and gum tissue are taken into consideration. Teeth defects, such as chips, cracks, discolouration, crookedness and even gaps between the teeth can all be fixed in your makeover.









The treatment plan is tailored to every patient, but a lot of the time it’s a combination of: Restorative: Dental Implants, Crowns, Bridges, Fillings, Root Canal Therapy - the lot.
Foundational: Bone Grafts, Gum work, Tooth Extractions - you know, the bits you need to sort out before you can sort out the smile bit.
Cosmetic: Porcelain Veneers, Teeth Whitening, maybe some Braces or Aligners. If you need a whole new smile, your dentist will probably sort those out for you.
No, there's usually a temporary fix - a temporary crown, bridge or denture - to make sure you can eat, talk and smile with confidence while your permanent teeth are being sorted out.
It depends what your insurance is like and what its for. If its for health and function reasons (like filling in gaps or fixing gum problems) - so long as you can claim that sort of thing - then you might get some of the money back. But if its just to make you look better (like Veneers on healthy teeth) then forget it - not going to get a penny.
With proper care and a regular trip or two to the dentist, your new smile should last you years and years, probably even a decade or two - and if you take care of your dental implants, they can last a lifetime.
It’s a real variable, depending on just how complex your case is. If you're just in for some Crowns and Veneers, it might take a couple of months, but if you're going for a full makeover including lots of implants and some bone grafting, well that can take anywhere from 6 months upwards, depending on how your body heals.
You have to commit to good at-home care - so that means brushing and flossing every day - and to your dentist recommended hygiene schedule which may need to be more than the usual twice a year.
Schedule your initial consultation today and start your journey towards a pain-free, healthier smile. Contact us now!
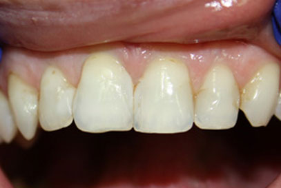
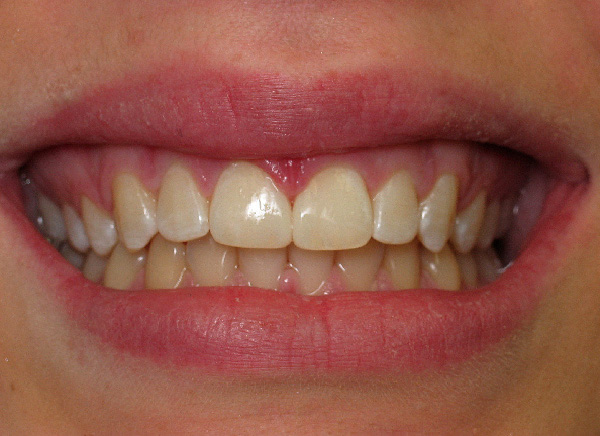
If you have teeth that are irregularly shaped, spaced, discoloured, or chipped, porcelain veneers can be one of the simplest, least intrusive ways to achieve the smile you’ve been wishing for. Best of all, porcelain veneers can be completed in as little as two visits.
Porcelain veneers are composed of thin layers of porcelain that are adhered to the front of a single tooth or multiple teeth. Shape and colour can all be customized to perfectly complement your smile. Once bonded to your teeth, they are strong and virtually undetectable. Porcelain veneers are an excellent method of restoring your smile.

During the first appointment, a small amount of tooth enamel may be removed so the veneers do not make your teeth appear to be unnaturally thick. Temporary veneers can be placed to help determine the final shape we are trying to achieve. In one to two weeks, we will try out the super-thin veneers during your follow-up appointment. If you like the results, these will then be cemented into place.
Although veneers do not wear out or stain, they are subject to cracks and damage just like natural teeth. If you regularly clench or grind your teeth, Dr. Michaels at Woodstock Dental Centre will recommend that you wear a guard to protect your veneers during the night.
Learn more about veneers.Dental veneers are thin custom-made shells of tooth coloured material (usually a type of porcelain or composite resin) that get stuck onto the front of your teeth to stop them looking a bit ropey.
For Porcelain Veneers, the process typically takes 2-3 visits:
1. Consultation/Planning: Digital mock-ups and planning.
2. Preparation: A small amount of enamel (about 0.5 mm) is removed to make space for the veneer, and temporary veneers are placed.
3. Bonding: The custom-made veneers are cemented onto the tooth surface.
They can be made from two different types of material: Porcelain or Composite Resin. Porcelain is pretty much stain proof, super strong and looks just like your own teeth. Composite Resin is a bit more affordable and can be done in one go, but it will stain and chip over time.
You are probably a good candidate if you have normal healthy gums and teeth, some healthy enamel to start with, and you don't have a habit of grinding your teeth to bits (bruxism) - just get yourself a night guard and you'll be fine.
The procedure is considered irreversible because the dentist must remove a minimal amount of enamel to ensure a proper fit and natural appearance. Once the enamel is removed, the tooth will always need to be covered by a veneer or a crown.
With proper care: * Porcelain Veneers typically last 10 to 15 years and often longer. * Composite Veneers generally last 5 to 7 years. The lifespan depends heavily on hygiene, diet, and avoiding destructive habits.
Schedule your initial consultation today and start your journey towards a pain-free, healthier smile. Contact us now!
Crowns are ideally suited for teeth that have large chips, cracks, substantial fillings, undergone root canal therapy, or are susceptible to fracturing. A crown acts as a shield, covering the entire surface of the tooth, helping to restore it to its natural shape, feel, and function. Once the crown is cemented into place, it will help prevent further deterioration and tooth loss.

Placing a crown usually requires a minimum of two visits, the first to prepare the tooth and the second to cement the crown. The second visit usually occurs one to two weeks following the initial visit. Between appointments, you will be fitted with a temporary crown while our lab prepares the final crown.
In some instances, we will ask our lab technicians to visit you in-office or at a nearby location to match the porcelain to the neighbouring teeth in order to create a perfect color match.
A bridge is considered a beneficial option for those wanting to replace a partial denture or fill in gaps from extracted teeth. What is a bridge, exactly? A bridge uses several crowns that are adhered together and a false (prosthetic) tooth is placed in each space where there was once a missing tooth. Since these are cemented in place, bridges are not removable and eliminate the need for partial dentures. This procedure can typically be completed in two to three visits.

During your first visit, impressions of the mouth will be taken in order to create an accurate mould. Finding the right colour and fit of the bridge will usually take another one to two appointments to ensure it is functionally and cosmetically perfect.
When required, we will ask our lab technician to visit you in our office so they can match the porcelain to the neighbouring teeth in order to ensure a uniform, natural look.
Between appointments, a temporary crown will be set while the permanent crown is being created in our lab.
Whether “full” or “partial,” the type of denture you select is largely based on your personal need and what works best for you.

A partial denture is also referred to as a “removable partial denture,” since the prosthetic teeth are held in place by clasps that attach themselves to the adjoining teeth. Partial dentures are usually chosen when adjoining teeth are not strong enough to support a dental bridge. Partial dentures can be easily removed each night for cleaning and other activities.
Also known as a “complete denture” or “false teeth,” full dentures are often used when all natural teeth are missing or have been extracted. Full dentures require as much care as natural teeth, including careful cleaning and the removal of plaque buildup.
Some general care tips for dentures include:
Schedule your initial consultation today and start your journey towards a pain-free, healthier smile. Contact us now!



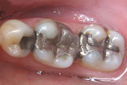
Learn more about Dental Amalgam.
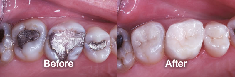
To eliminate mercury exposure, prevent tooth fractures caused by metal expansion, or replace dark "silver" spots with a natural white smile.
A strict safety standard (Safe Mercury Amalgam Removal Technique) using high-volume suction, specialized air filters, and barriers to block mercury vapor.
Generally, keep them if they are intact and functional. Remove them if they are cracked, leaking, or if you have a mercury sensitivity.
Approximately 45 to 60 minutes per tooth. Large cases are often split into multiple appointments to manage exposure.
We match the right colour tone, shape, and design to make sure the outcome is as natural as possible.
Tooth-colored composite resin is the standard; porcelain or zirconia are used for larger cavities requiring extra strength.
Only if the removal is "medically necessary" (e.g., decay or breakage). Purely cosmetic or elective removals are usually out-of-pocket.
Temporary sensitivity to hot and cold is common for a few days as the tooth adjusts to the new bonding material.
Schedule your initial consultation today and start your journey towards a pain-free, healthier smile. Contact us now!
A white dental filling typically requires only one dental visit.The process is relatively simple; once the decay has been removed from the tooth surface, a lining material is placed to protect the deepest part of the cavity. A bonding agent or adhesive is then placed in the tooth. A soft filling material is then placed and formed to replicate the missing tooth. This is then hardened using a specialized blue spectrum light while the tooth and filling are further shaped and polished.


At Woodstock Dental Centre we choose to use only composite resin fillings. With that being said, we will only remove silver amalgam fillings if the area below the filling has become jeopardized or the filling has become structurally damage
Learn about the facts about Dental Amalgam.
White fillings are made of composite resin, which is a plastic-like material mixed with fine glass or quartz particles. This material is color-matched to your natural teeth, making the restoration virtually invisible.
The primary reason is aesthetics—they blend naturally with your smile. Additionally, composite resin bonds directly to the tooth structure, requiring less drilling and preserving more of your healthy tooth than silver fillings.
Yes. White composite fillings are considered safe for all patients. Unlike amalgam fillings, they do not contain mercury. Modern composite materials are highly durable and biocompatible.
The placement of a white filling typically takes 30 to 60 minutes per tooth. It requires a multi-step process, including cleaning the cavity, applying a bonding agent, placing the resin in layers, and hardening each layer with a special light.
Yes. It is common to experience minor sensitivity to heat, cold, or pressure for a few days up to a week after the procedure. This is temporary. If the sensitivity is intense or lasts longer than two weeks, contact your dentist.
With proper care, white composite fillings typically last between 5 to 10 years, although many last longer. Longevity depends on the filling's size, its location (back teeth experience more pressure), and your personal oral hygiene habits.
es. It is common to experience minor sensitivity to heat, cold, or pressure for a few days up to a week after the procedure. This is temporary. If the sensitivity is intense or lasts longer than two weeks, contact your dentist.
Schedule your initial consultation today and start your journey towards a pain-free, healthier smile. Contact us now!
Woodstock Dental Centre offers amalgam removal, involving a very powerful vacuum system to minimize the exposure to mercury vapour and amalgam particles. The evacuator tip is kept close to the filling during the entire time the filling is being removed. This helps capture more of the mercury vapour and amalgam particles.



As well as using an alternative air source and high-volume vacuum, a rubber dental dam is placed when possible to ensure that no amalgam particles enter the mouth during filling removal. This also reduces – if not eliminates – any oral exposure to mercury vapours.


Learn more about Dental Amalgam.
To eliminate mercury exposure, prevent tooth fractures caused by metal expansion, or replace dark "silver" spots with a natural white smile.
A strict safety standard (Safe Mercury Amalgam Removal Technique) using high-volume suction, specialized air filters, and barriers to block mercury vapor.
Generally, keep them if they are intact and functional. Remove them if they are cracked, leaking, or if you have a mercury sensitivity.
Approximately 45 to 60 minutes per tooth. Large cases are often split into multiple appointments to manage exposure.
We match the right colour tone, shape, and design to make sure the outcome is as natural as possible
Tooth-colored composite resin is the standard; porcelain or zirconia are used for larger cavities requiring extra strength.
Only if the removal is "medically necessary" (e.g., decay or breakage). Purely cosmetic or elective removals are usually out-of-pocket.
Temporary sensitivity to hot and cold is common for a few days as the tooth adjusts to the new bonding material.
741 Dundas Street, Woodstock, ON, N4S 1E8
519.537.7135
![]()
Monday: 9:00am to 7:00pm
Tuesday: 9:00am to 7:00pm
Wednesday: 9:00am to 5:00pm
Thursday: 9:00am to 6:00pm
Friday: 9:00am to 4:00pm
Saturday: Closed
Sunday: Closed
Posted on Ryan Rowntree (Jazzybean76)Trustindex verifies that the original source of the review is Google. Great service, no complaints. techs and docs were patient and friendlyPosted on Nicole ThompsonTrustindex verifies that the original source of the review is Google. Dr Sam is great !Posted on Chris LessardTrustindex verifies that the original source of the review is Google. Since being young, I have had many bad experiences with dentists. Then I found Dr. Michael's at Woodstock Dental. Such an amazing dentist and does absolutely great work and very gentle!!!! The staff there is also amazing, especially when you walk in the door, greeted by such happy friendly faces, and some who like to tease, they know who they are!!! Lol Always the best experiences here, will never go anywhere else!Posted on P DTrustindex verifies that the original source of the review is Google. They're all super friendly and the office is nice. Dr Zanata is doing an amazing job with my Invisalign! Highly recommend them.Posted on Michelle KiefferTrustindex verifies that the original source of the review is Google. Both the dentist and hygienist were lovely, made me comfortable, informed me through the procedure, and even gave me a chuckle. Thank you.Posted on Brittney BaldwinTrustindex verifies that the original source of the review is Google. I just left my first intake appointment with this team since moving to Woodstock and WOW! they are great. More thorough than any dental clinic I've ever been to. Very gentle, very respectful, very friendly! I look forward to my future appointments and creating a plan to magnify my dental health as much as possible. I'm so pleased!Posted on Brad GableTrustindex verifies that the original source of the review is Google. Every experience that I've had with Woodstock Dental Centre, is beyond professional always friendly staff. My first sleep dentistry experience, today, absolutely incredible.Load moreVerified by TrustindexTrustindex verified badge is the Universal Symbol of Trust. Only the greatest companies can get the verified badge who has a review score above 4.5, based on customer reviews over the past 12 months. Read more